Citation

Lodebo BT, Patel S, Williams N, et al. (2025) Platypnea-Orthodeoxia Syndrome: A Clinical Presentation Associated with Patent Foramen Ovale. Clin Med Rev Case Rep 12:470. doi.org/10.23937/2378-3656/1410470

Case Report | OPEN ACCESS DOI: 10.23937/2378-3656/1410470

Platypnea-Orthodeoxia Syndrome: A Clinical Presentation Associated with Patent Foramen Ovale

Bereket T. Lodebo1,2,4*, Sunny Patel3, Noah Williams3 and David Watson2,3,4

1 Department of Internal Medicine, Wellstar Cobb Medical Center, Austell, USA

2 Department of Internal Medicine, Medical College of Georgia, Augusta University, Augusta, USA

3 Wellstar Kennestone Regional Medical Center, Internal Medicine Residency Program, Marietta, USA

4 Department of Hospital Medicine, WellStar Kennestone Regional Medical Center, Marietta, USA

Abstract

Background: Platypnea-orthodeoxia syndrome (POS) is a rare medical condition characterized by platypnea (a symptom of dyspnea that worsens when upright, but improves upon reclining) and orthodeoxia (measurable hypoxia that worsens when upright, but improves upon reclining). This syndrome poses diagnostic challenges due to its subtle symptomatology and requires a high index of clinical suspicion.

Case report: We report a 90-year-old male with persistent hypoxemia, suggestive of POS. Transesophageal echocardiography revealed a large PFO with right-to-left shunting. The PFO was closed percutaneously using the GORE CARDIOFORM septal occluder. Remarkably, the patient demonstrated significant improvement in oxygenation after the procedure.

Conclusion: POS, while rare, is clinically significant due to its association with diseases that represent considerable morbidity and mortality. Timely recognition and intervention are crucial for diagnosing the underlying cause, reducing symptoms, and preventing complications. Increased awareness among healthcare practitioners of the presenting signs and symptoms of POS is crucial for timely management and improved patient outcomes.

Keywords

Platypnea, Orthodeoxia, Patent foramen ovale, Right-to-left shunting, Transcatheter closure

Introduction

Platypnea-orthodeoxia syndrome (POS) is an uncommon medical condition marked by shortness of breath that intensifies when a person is upright or seated and improves when lying down (distinguishing it from orthopnea), in addition to a decrease in blood oxygen saturation when transitioning from a lying position to an upright posture [1]. The diagnostic threshold for arterial desaturation is typically identified as a reduction of more than 4 mmHg in the partial pressure of oxygen (PaO2) or a decrease of over 5% in oxygen saturation (SpO2) when transitioning from a supine to an upright position [2-4]. The phrase "POS" was initially introduced in the 1960s and 1970s, but the syndrome is still probably not diagnosed as often as it should be [5]. We describe a case involving a 90-year-old man with no previous heart conditions who came in with persistent hypoxemia, later discovered to have POS caused by a large PFO.

Case Report

We present a 90-year-old male patient who arrived at the hospital with persistent hypoxia. His medical history includes essential hypertension, hyperlipidemia, hypothyroidism, depression, obstructive sleep apnea, and chronic lower back pain. He came from his spine surgeon's office, where he was scheduled for an epidural pain medication injection three days prior; however, the procedure could not be performed due to an oxygen saturation level of 85%. The patient has experienced minimal shortness of breath over the past couple of months, which worsens with exertion. He had no known prior history of cardiac disease. He denies experiencing chest pain or palpitations and reports no cough, fever, or chills. Notably, he stopped smoking 50 years ago.

Upon arrival at the hospital, the patient's vital signs were recorded as follows: blood pressure, 142/88 mmHg; pulse rate, 61 beats per minute; respiratory rate, 17 breaths per minute; temperature, 97.8°F; and oxygen saturation, 98%, while receiving 6 liters of oxygen via nasal cannula. A comprehensive physical examination showed normal first and second heart sounds, with no murmurs, rubs, or gallops detected. The lung examination indicated bilateral vesicular breath sounds, with no wheezes, crackles, or other abnormal sounds present. The abdominal examination was unremarkable, and no peripheral edema was observed.

The initial arterial blood gas analysis, conducted while the patient was receiving 6 liters of nasal cannula (NC) oxygen, revealed a pH of 7.43, a partial pressure of carbon dioxide (PaCO2) of 30 mmHg, a partial pressure of oxygen (PaO2) of 63 mmHg, and a bicarbonate (HCO3-) level of 20 mmol/L. These findings indicate mild respiratory alkalosis and hypoxemia. Computed tomography angiogram (CTA) of the chest revealed no abnormal opacities in the lungs, no signs of pulmonary embolism, and unchanged dilatation of the aortic root and ascending thoracic aorta since 2021, along with multivessel coronary artery atherosclerosis.

The patient was initially placed on 6 liters of high-flow nasal cannula (HFNC) and had an oxygen saturation of 92% without any signs of distress. However, the bedside nurse activated a Rapid Response when the patient's oxygen saturation dropped to the low 80s, as indicated on the monitor. The patient was then switched to a 15-liter non-rebreather mask. He was also placed on BiPAP for a period. Interestingly, the patient's oxygen saturation improved when he was lying flat in bed. During this event, an arterial blood gas (ABG) analysis was conducted while the patient was on 15 liters of oxygen. The results showed a pH of 7.5, a partial pressure of carbon dioxide (PaCO2) of 23 mmHg, a partial pressure of oxygen (PaO2) of 34 mmHg, and a bicarbonate (HCO3-) level of 18 mmol/L. These results indicate worsening respiratory alkalosis and hypoxemia.

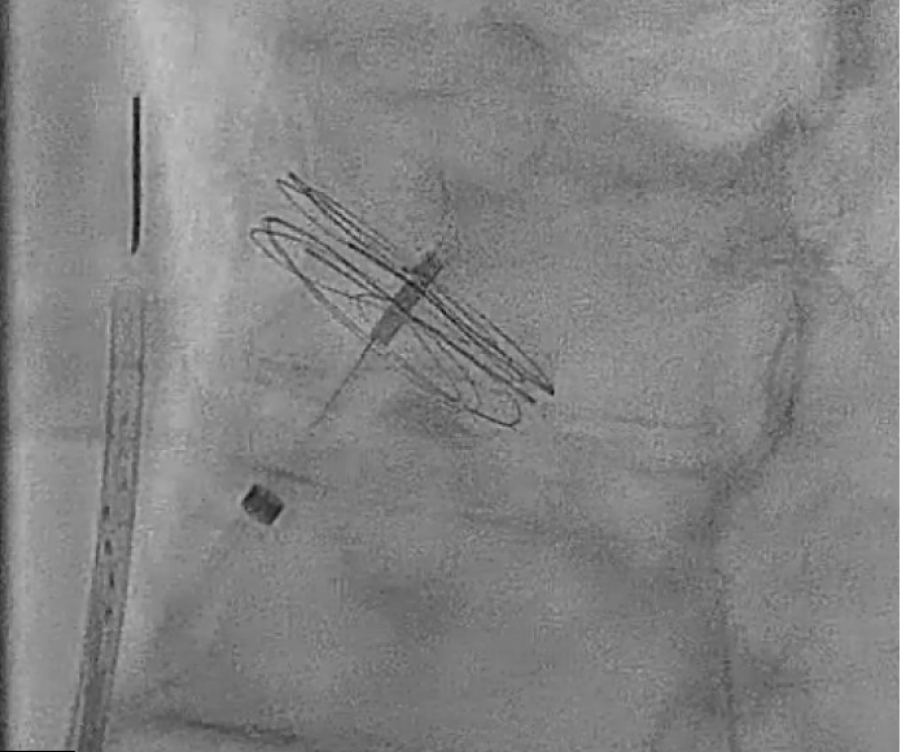
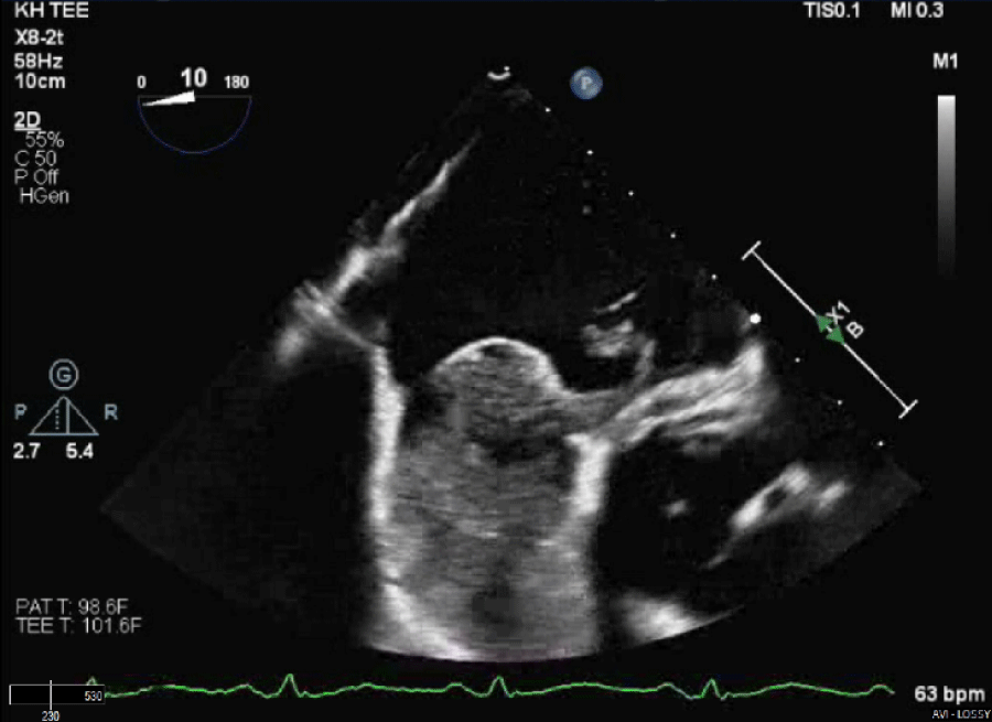
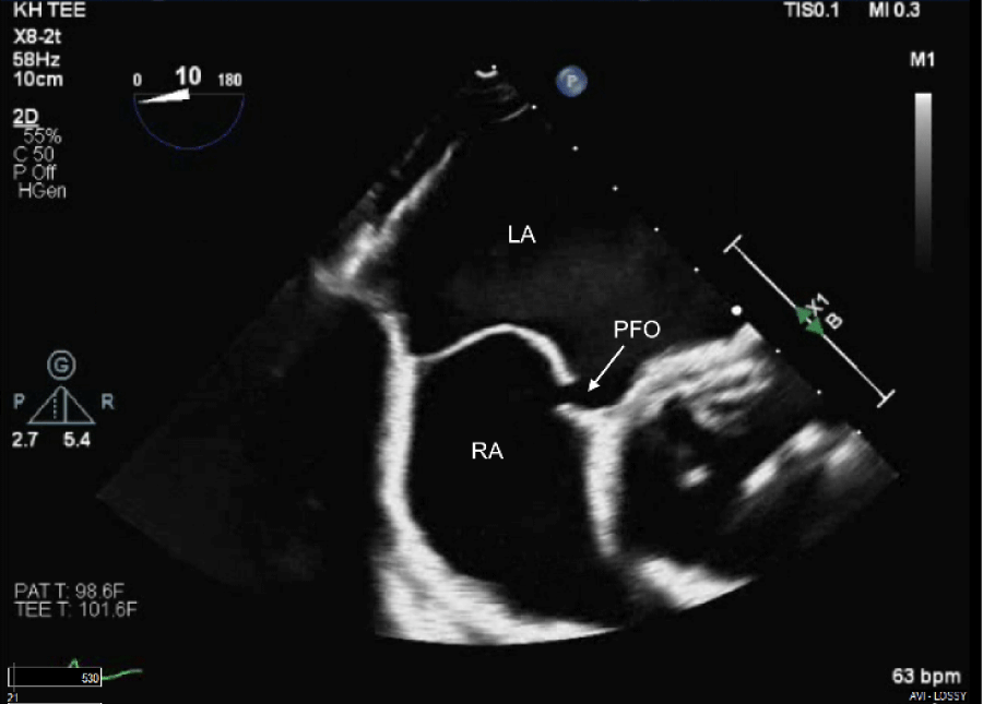
The patient’s clinical condition was consistent with Platypnea-Orthodeoxia syndrome based on the findings described above. A transthoracic echocardiogram indicated an ejection fraction (EF) of 51-55%, with mild left ventricular hypertrophy (LVH) and mild right ventricular dilatation. The bubble study was inconclusive. A transesophageal echocardiogram (TEE) revealed that the interatrial septum was aneurysmal, and a large PFO was visible on color Doppler imaging and following the injection of agitated saline contrast, as shown in figures 1 and 2. The patient underwent transcatheter closure of a patent foramen ovale using a 30 mm Gore Cardioform device, as depicted in figure 3 and 4. Immediately after the procedure, a repeat bubble study was conducted, which showed no bubbles crossing the patent foramen ovale (PFO). He was placed on dual antiplatelet therapy, with aspirin and clopidogrel for one month, followed by aspirin indefinitely. On the day of discharge, the patient was sitting upright in bed with oxygen saturation levels at 94% on room air and reported no shortness of breath. The patient was feeling much improved. The patient's care in the hospital involved a multidisciplinary approach that included teams from cardiology, pulmonology, and hospital medicine. Following hospital discharge, the patient had follow-up appointments in both the cardiology and pulmonary clinics and underwent a transthoracic echocardiogram (TTE) one month after the procedure. The left atrial cavity is moderately dilated. No patent foramen ovale was detected during the agitated saline injection. The patient did not report any breathing issues, and his oxygen saturation on the day of the follow-up was 94%.

Figure 1: TEE with bubbles from RA into LA through PFO. View Figure 1

Figure 2: TEE with PFO defect. View Figure 2

Figure 3: Gore placement with intracardiac echo (ICE) guidance. View Figure 3

Figure 4: Gore cardioform en-face view. View Figure 4

Discussion

In contrast to many causes of hypoxemia, which benefit from oxygen therapy, clinically significant right-to-left shunting does not typically improve with oxygen supplementation since it circumvents the ventilatory system, leading to ongoing hypoxemia even with oxygen delivery [6]. In our patient, hypoxemia persisted despite increasing supplemental oxygen to 15 L/min via a high-flow nasal cannula (HFNC), but it improved once he was lying down. The positional characteristics of his symptoms were consistent with POS. Combined with the findings from the transesophageal echocardiogram (TEE), this led to the conclusion that his POS was due to a right-to-left cardiac shunt through a large PFO. This case report describes a rare instance of POS in a 90-year-old male, successfully resolved through percutaneous PFO closure. It contributes to the limited literature on POS, showing that timely PFO closure can significantly improve symptoms and oxygenation, highlighting the need for increased clinical vigilance. While PFO is often seen as benign, some more severe cases can lead to the development of POS, which can be challenging to diagnose [7]. This report highlights the clinical significance of POS and underscores the ongoing necessity for careful history taking and nuanced examination skills required by physicians and other healthcare providers to make certain challenging and easily missed diagnoses, so that patients receive appropriate and timely medical interventions.

POS represents a clinical syndrome that should encourage healthcare providers to explore potential underlying causes, which is essential for evaluating and treating such patients [3]. The causes can generally be classified into intracardiac or extracardiac groups [3,4]. A 2017 review article states that intracardiac shunting causes about 87% of POS cases, with PFO being the most common, followed by atrial septal defect. Extracardiac causes include pulmonary shunting from intrapulmonary arteriovenous malformations (9.2%) and ventilation-perfusion imbalance due to lung parenchymal diseases (3.77%) [2].

Although it is uncommon, POS should be clinically considered because of its elusive symptoms. A thorough assessment, which includes reviewing the patient's history, nuanced examination skills, and utilizing advanced diagnostic methods such as echocardiography, is crucial for proper diagnosis and treatment [3]. In our case, a TTE was unsuccessful in diagnosing right-to-left shunt due to study limitations, but TEE was eventually diagnostic.

A patent foramen ovale (PFO) is a crucial component of fetal circulation that permits oxygen-rich blood to circumvent the nonfunctioning lungs, allowing it to flow directly from the inferior vena cava into the left systemic circulation. Following birth, the inflation of the lungs decreases pulmonary and right heart pressures, which alters the shunt direction through the PFO or an atrial septal defect (ASD) and results in blood flowing from left to right. This transition results in the septum primum and septum secundum coming into contact, with complete fusion occurring in approximately 70% to 80% of individuals within the first two years of life [8]. In roughly 25% of adults, the PFO continues to remain open, which may potentially result in complications such as cerebrovascular accidents and, in rare cases, conditions like POS [9].

Closure of PFO is advised for patients with POS and no other identified cause for the syndrome, according to the Society of Cardiovascular Angiography and Interventions (SCAI) [10]. This suggestion is founded on research that has shown significant enhancements following the percutaneous closure of PFOs [9]. In a study conducted at a single center with 52 patients who had percutaneous closure of interatrial communication between January 1997 and July 2015, it was observed that POS was effectively treated through percutaneous intervention [11].

In cases of unexplained shortness of breath and hypoxemia, it is paramount to consider POS as a differential diagnosis. Prompt identification and diagnosis are crucial, as they enable timely treatments that can significantly improve patient outcomes. The favorable response observed after closure of a PFO in this case highlights the effectiveness of percutaneous interventions in treating POS. It highlights the necessity for greater clinical recognition of this syndrome.

Conclusion

POS poses a diagnostic challenge due to its rarity and diverse causes. Timely identification and understanding of its mechanisms are crucial for effective treatment. This case demonstrates the successful management of POS through percutaneous closure of PFO, emphasizing the importance of tailored interventions for better patient outcomes. Enhanced clinical awareness and collaboration among specialties are vital for improved recognition and treatment. Despite the difficulties in diagnosing POS, improvements in diagnostic methods and therapies provide optimism for better patient treatment, highlighting the need for ongoing research and clinical diligence.

Informed Consent

Obtained from the patient involved in this case.

Authors Contribution

All authors were actively involved in the management of the patient and made equal contributions to the preparation of this case report.

References

  1. Henkin S, Negrotto S, Pollak PM, Cullen MW, O’Cochlain DF, et al. (2015) Platypnea-orthodeoxia syndrome: Diagnostic challenge and the importance of heightened clinical suspicion. Tex Heart Inst J 42: 498-501.
  2. Agrawal A, Palkar A, Talwar A (2017) The multiple dimensions of platypnea-orthodeoxia syndrome: A review. Respir Med 129: 31-38.
  3. Khauli S, Chauhan S, Mahmoud N (2024) Platypnea. StatPearls.
  4. Salas-Pacheco JL (2022) Mechanisms of platypnea-orthodeoxia syndrome. Arch Cardiol Mex 92: 274-282.
  5. Rodrigues P, Palma P, Sousa-Pereira L (2012) Platypnea-orthodeoxia syndrome in review: Defining a new disease? Cardiology 123: 15-23.
  6. Sarkar M, Niranjan N, Banyal PK (2017) Mechanisms of hypoxemia. Lung India 34: 47-60.
  7. Casanovas-Marbà N, Feijoo-Massó C, Guillamón-Torán L, Guillaumet-Gasa E, Blanco BGD, et al. (2014) Patent foramen ovale causing severe hypoxemia due to right-to-left shunting in patients without pulmonary hypertension. Clinical suspicion clues for diagnosis and treatment. Rev Espanola Cardiol 67: 324-325.
  8. Kerut EK, Norfleet WT, Plotnick GD, Giles TD (2001) Patent foramen ovale: A review of associated conditions and the impact of physiological size. J Am Coll Cardiol 38: 613-623.
  9. Homma S, Messé SR, Rundek T, Sun YP, Franke J, et al. (2016) Patent foramen ovale. Nat Rev Dis Primer 2: 15086.
  10. Horlick E, Kavinsky CJ, Amin Z, Boudoulas KD, Carroll JD, et al. (2019) SCAI expert consensus statement on operator and institutional requirements for PFO closure for secondary prevention of paradoxical embolic stroke: The American academy of neurology affirms the value of this statement as an educational tool for neurologists. Catheter Cardiovasc Interv 93: 859-874.
  11. Shah AH, Osten M, Leventhal A, Bach Y, Yoo D, et al. (2016) Percutaneous intervention to treat platypnea-orthodeoxia syndrome: The toronto experience. JACC Cardiovasc Interv 9: 1928-1938.

Citation

Lodebo BT, Patel S, Williams N, et al. (2025) Platypnea-Orthodeoxia Syndrome: A Clinical Presentation Associated with Patent Foramen Ovale. Clin Med Rev Case Rep 12:470. doi.org/10.23937/2378-3656/1410470