Citation

Morgan J, Krustinger B, Castillo K, et al. (2025) Not All Subfoveal Hard Exudates Lead to a Bad Visual Prognosis: A Case Report. Int J Ophthalmol Clin Res 12:163. doi.org/10.23937/2378-346X/1410163

Case Report | OPEN ACCESS DOI: 10.23937/2378-346X/1410163

Not All Subfoveal Hard Exudates Lead to a Bad Visual Prognosis: A Case Report

Jacob Morgan, BS1,4*, Briana Krustinger, BS1, Katia Castillo, BS1, Levent Akduman, MD2, and Sandeep Saxena, MD3

1Edward Via College of Osteopathic Medicine, Monroe, Louisiana, USA

2EyeCare Partners, St. Louis, Missouri, USA

3Department of Ophthalmology, King George's Medical University, Lucknow, India

Abstract

In literature, hard exudates are associated with poor, long-term visual acuity due to the oxidative stress and scarring that lipids and lipoproteins generate within the retinal tissue. The fovea is particularly susceptible to this oxidative damage due to its delicate blood supply. This report demonstrates that the long-lasting effects of hard exudates on visual acuity and retinal architecture are a spectrum. The discussed patient is a sixty-two-year-old female who presented with a dense scattering of hard exudates involving the fovea secondary to a previously diagnosed macroaneurysm. Following resolution of the exudates, there was a stark improvement in the patient's retinal architecture and visual acuity from 20/400 to 20/70.

Introduction

Hard exudates are pockets of lipoproteins and lipids that form in the retinal tissue following some primary insult to the vasculature of the retina [1]. A myriad of diseases of the retinal vasculature can lead to the formation of hard exudates, including macroaneurysms, diabetic retinopathy, and vessel occlusion [2,3]. Classically, hard exudates have been closely associated with poor long-term visual acuity [4,5]. This is especially evident in the case of hard exudates found underlying the fovea, the most visually sensitive portion of the retina, as it primarily receives its blood supply from the underlying choroid [4]. When separated from the choroid, atrophy of the fovea occurs rapidly [2].

Therefore, treatment of the primary cause is imperative to maximize the potential long-term vision [4]. In the case of macroaneurysms, treatment typically consists of observation to ensure involution of the aneurysm [1]. Additional treatment, such as laser photocoagulation and anti-VEGF therapy, may be warranted in the case of macular edema or hemorrhage. Lastly, a complete systematic review is necessary to rule out and treat other primary causes such as hypertension and hypercholesterolemia [1]. This report follows the course of a sixty-two-year-old female who presented with dense, subfoveal exudates secondary to a macroaneurysm. In contrast to the expected visual decline, this patient’s visual acuity and retinal architecture markedly improved following the resolution of the subfoveal exudation.

Case Report

A 62-year-old African American female presented with a complaint of progressive blurred vision in her right eye. The patient denied any pertinent past medical history including hypertension, hyperlipidemia, coronary artery disease, or diabetes. She further denied the use of prescription medications or tobacco products. She endorsed close follow up with her primary care physician annually.

At the patient’s initial visit, retinal fundoscopy revealed a superotemporal retinal macroaneurysm of the right eye. This macroaneurysm was an incidental finding and did not impact the vision. The visual acuity was 20/25 in the right eye and 20/20 in the left eye. Prophylactic laser photocoagulation was completed to prevent sequelae including bleeding and macular edema. Additionally, examination identified bilateral nuclear sclerotic cataracts which were not visually limiting.

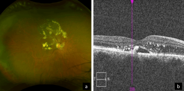
Eight months later, best corrected vision (BCVA) was 20/400 in the right eye and 20/20 in the left eye. Repeat examination of the right eye revealed the previously diagnosed retinal arteriolar macroaneurysm on the superotemporal aspect of the retina. Additionally, there was a dense accumulation of subfoveal hard exudates with some indistinct laser scar from the previous laser treatment Figure 1. Fundus imaging and fluorescein angiography of the right eye revealed persistent leakage of the macroaneurysm into the fovea with some blockage of background fluorescence due to the scattering of subfoveal lipid exudates Figure 1a and Figure 2. Optical coherence tomography (OCT) showed an accumulation of heavy hard exudates in the retina with an indistinct external limiting membrane and ellipsoid zone Figure 1b. Due to the persistent leakage and exudates, additional direct argon laser photocoagulation was recommended and completed.

Figure 1: Imaging of the Right Eye at the Second Visit.
Color fundus photography (a) reveals the macroaneurysm on the superotemporal vascular arcade of the retinal artery with hard exudates in a circinate pattern surrounding the macroaneurysm and dense accumulation in the macula. Optical coherence tomography (OCT) (b) shows an accumulation of heavy hard exudates in the retina with an indistinct external limiting membrane and ellipsoid zone. Subretinal fluid and macular edema with intraretinal thickening are present from leakage of the macroaneurysm. View Figure 1

Figure 2: Fluorescein angiography of the Right Eye at the Second Visit.
Fluorescein angiography demonstrates leakage during the recirculation phase. A macroaneurysm, measuring 0.6-disc diameters, is visualized on the superotemporal vascular arcade. View Figure 2

Following this second treatment, the patient was lost to follow up until 25 months after onset. Upon return, the hard, dense scattering of lipid exudates underlying the fovea had a near-complete resolution. Despite some significant progression of her nuclear cataract, the right eye had a BCVA of 20/70. Imaging demonstrated complete resolution of the subfoveal edema with a rare scattering of lipid exudates and improved architecture of the retina Figure 3a and Figure 3b. The patient denied any additional care or follow ups with other practices. She stated that the vision gradually cleared on its own and only had some complaints of glare while driving at night.

Figure 3: Imaging of the Right Eye at the Final Visit.
25 months after the second laser treatment, a color fundus photo (a) reveals scarring around the retinal macroaneurysm with resolution of previously photographed hard exudates. Optical coherence tomography (b) displays a resolution of the macular edema with improved architecture in the layers of the retina. The external limiting membrane has been restored, and the ellipsoid zone is undergoing restoration. Heavy hard exudates in the fovea have completely regressed. View Figure 3

Discussion

In the literature, macular hard exudates are classically associated with a poor long-term visual outcome [3]. The presence of lipid exudates causes oxidative stress on the surrounding tissue, leading to permanent fibrotic scarring and alteration in the retinal architecture [4,5]. In this patient, these hard lipid exudates involved the fovea, leading to an even higher risk of poor long-term vision [1]. Uji, et al. report that hyper-reflective foci in the outer retina are closely associated with poor long-term vision, further supporting the traditional clinical trajectory of hard exudates. In our patient, disruption in the architecture of the outer retina and an indistinct ellipsoid zone were observed due to the exudates. Contrary to the expected outcome, when resolution of the subfoveal lipid exudates occurred in this patient, there was a distinct improvement in her visual acuity which improved from 20/400 to 20/70 with the return of well-delineated retinal layers.

Some degree of the patient’s initial poor visual acuity was due to the subretinal fluid seen at onset Figure 1. Between the patient’s first visit and final visit 25 months later, there was reabsorption of the fluid. Although subretinal fluid was reabsorbed, the traditionally poor prognosis linked with foveal hard exudates would suggest greater permanent vision loss than what was observed in this patient.

A possible explanation for this patient’s positive visual outcome is that the primary disease responsible for the exudates may have been more associated with the patient’s visual acuity rather than just the presence or absence of exudates. Important predisposing factors of macroaneurysms and subsequent exudation include hypertension and elevated serum lipid levels [6]. High serum lipid levels have been directly implicated in both the severity of exudation and long-term visual acuity following the resolution of the exudates [3]. This suggests that potential fluctuations in lipid levels could improve or worsen patients' visual prognoses. Notably, the patient denied any prior medical history and reported close follow-up with her primary care physician. Theoretically, despite her negative history, this patient could have experienced an undetected change in serum lipid levels that contributed to the resolution of the hard exudates.

Additionally, the discussed patient was treated with photocoagulation eight months before the onset of subfoveal exudates, with additional photocoagulation at onset to limit leakage and secondary effects of the aneurysm. Quick correction of the primary pathology may have significantly contributed to the enhanced long-term visual prognosis by facilitating the regression of subfoveal lipid exudates.

As discussed in Spielburg, et al., macroaneurysms are most often asymptomatic and spontaneously resolve without treatment. If secondary symptoms manifest, rapid detection and treatment is key for a good prognosis. Primary treatment of macroaneurysms is observation if asymptomatic [1,6]. Symptomatic macroaneurysms are treated with photocoagulation to ensure that secondary effects of the aneurysm, such as exudates and macular edema, are limited [7]. In summary, the traditionally poor prognosis for long-term vision due to subretinal exudates may not be applicable to every case with such a presentation. Timely intervention for macular leakage as well as systemic workup could enhance the prognosis beyond conventional expectations.

Conclusions

Hard exudate secondary to a vascular insult is traditionally associated with poor visual prognosis even with complete resolution. This is due to two prevalent mechanisms: oxidative stress of the exudates on surrounding tissue, and the disruption of the retinal architecture. The patient discussed here had a heavy scattering of exudate with diminished visual acuity. Despite this, the patient showed an unexpected improvement in her hard exudates after 25 months. This implies that the outcome of subfoveal exudate deposition is a spectrum. We hypothesize that many factors, such as the timeliness of correcting primary pathologies, play a more significant role than just the presence or absence of hard lipid exudate. All measures, primary and secondary treatment, should be taken to ensure that the best possible long-term vision is achieved.

Financial Disclosure

No financial support to declare.

Statement of Equal Authors’ Contribution

All authors declare an equal part in the development and production of this manuscript.

Acknowledgments

No external help was utilized in the creation of this manuscript.

References

  1. Pitkänen L, Tommila P, Kaarniranta K, Jääskeläinen JE, Kinnunen K (2014) Retinal arterial macroaneurysms. Acta Ophthalmol 92: 101-104.
  2. Rabb MF, Gagliano DA, Teske MP (1988) Retinal arterial macroaneurysms. Surv Ophthalmol 33: 73-96.
  3. E Y Chew, M L Klein, F L Ferris 3rd, N A Remaley, R P Murphy, et al. (1996) Association of elevated serum lipid levels with retinal hard exudate in diabetic retinopathy. Arch Ophthalmol 114: 1079-1084.
  4. Raman R, Nittala MG, Gella L, Pal SS, Sharma T (2015) Retinal Sensitivity over Hard Exudates in Diabetic Retinopathy. J Ophthalmic Vis Res 10: 160-164.
  5. Christoffersen N, Sander B, Larsen M (1998) Precipitation of hard exudate after resorption of intraretinal edema after treatment of retinal branch vein occlusion. Am J Ophthalmol 126:454-456.
  6. Uji A, Murakami T, Nishijima K, Akagi T, Horii T, et al. (2012) Association between hyperreflective foci in the outer retina, status of photoreceptor layer. Am J Ophthalmol153: 710-717.
  7. Speilburg AM, Klemencic SA (2014) Ruptured retinal arterial macroaneurysm: diagnosis and management. J Optom 7: 131-137.

Citation

Morgan J, Krustinger B, Castillo K, et al. (2025) Not All Subfoveal Hard Exudates Lead to a Bad Visual Prognosis: A Case Report. Int J Ophthalmol Clin Res 12:163. doi.org/10.23937/2378-346X/1410163