Citation

Gour-Provençal G, Timothée De Saint-Denis, Lallemant-Dudek P, et al. (2025) Acute Deterioration in a Pediatric Patient with a Transitional Lipoma - A Case Report. Neurosurg Cases Rev 8:175. doi. org/10.23937/2643-4474/1710175

Case Report | OPEN ACCESS DOI: 10.23937/2643-4474/1710175

Acute Deterioration in a Pediatric Patient with a Transitional Lipoma - A Case Report

Gabrielle Gour-Provençal, MD, FRCPC, MSc1,2, Timothée De Saint-Denis, MD3, Pauline Lallemant-Dudek, MD1 and Hina Simonnet, MD1

1Pediatric Physical Medicine and Rehabilitation Department, Hôpital Armand-Trousseau AP-HP, Paris, France

2Pediatric Physical Medicine and Rehabilitation Department, CHU Sainte-Justine, Montréal, Canada

3CORE Unit, Hôpital Armand-Trousseau AP-HP, Paris, France

Abstract

Lumbosacral lipomas, the most common form of spinal dysraphism, represent a challenge in clinical decision making as optimal management in asymptomatic patients is still unclear. There is ongoing debate whether these patients should undergo prophylactic surgery or not. Especially when multiple management options exist, shared decision making should be prioritised as it has been shown to decrease decisional conflict and anxiety and increase decisional satisfaction (despite outcome), knowledge, quality of life and physician trust. Here we discuss the case of a patient with a transitional lipoma for whom closer observation was opted and who showed complete recovery following surgical intervention for acute deterioration (lower limb weakness and urinary retention) secondary to syringomyelia. This case provides additional insight into possible outcomes if parents and clinicians opt for close observation of an initially asymptomatic transitional lipoma and if sudden worsening do occur.

Keywords

Spinal cord, Spina bifida, Rehabilitation, Patient partnership, Case report

Introduction

Lumbosacral lipomas, also known as dysraphic spinal cord lipomas or congenital spinal lipomatous malformations are the most common form of spinal dysraphism [1- 3]. Clinical manifestation is variable with many patients being asymptomatic and other developing slowly progressive sensory-motor deficits, neurological bowel and bladder dysfunction, pain and/or paresthesia of the lower limbs and orthopedic deformities such as scoliosis and foot deformities [1, 4]. Various classifications have been proposed throughout the years to try and better predict clinical course. Among them, Pang et al suggested dividing lipomas into dorsal lipoma, transitional lipoma, terminal lipoma and chaotic lipoma [5]. Lumbosacral lipomas represent a challenge in clinical decision making as optimal management in asymptomatic patients is still unclear. Indeed, there is ongoing debate whether these patients should undergo prophylactic surgery or not [5- 7]. According to two European groups who have studied natural history of lumbosacral lipomas, there is a 33-40 % chance of neurological deterioration over 10 years without prophylactic surgical treatment [3, 7]. Neurological deterioration is usually slow and progressive although rare cases of acute deterioration has been documented and most often due to sub-dural empyema secondary to dermal sinus tracts [2, 8, 9]. Here we discuss the case of a patient with a transitional conus lipoma who showed complete recovery following surgical intervention for acute deterioration secondary to syringomyelia.

Case presentation

A 5-month-old baby girl was referred to our center for assessment and management as a transitional lipoma had just been diagnosed. A few days after birth, erythema of the intergluteal folds and the vulva was noted and was initially diagnosed as nappy rash. A couple of weeks later, a diagnosis of angioma was made by a dermatologist and due to a deviation of the intergluteal fold, a spinal ultrasound was ordered. The spinal ultrasound demonstrated a low-lying cord with its extremity in continuity with a hypoechoic mass measuring 21 x 6 mm, primarily suggestive of a lipoma. Spinal MRI one month later confirmed the diagnosis of a conus lipoma. She was thus referred to our center soon after for management. At that time, she was asymptomatic. Her neurologic and orthopedic examinations were completely normal. Bladder and renal ultrasound was also normal. Repeat MRI, 6 months later, confirmed a transitional subtype of conus lipoma, predominantly located on the right anterolateral side from L4 to S5 with an associated low-lying cord which termination is poorly defined around S2, without syringomyelia. As she was completely asymptomatic, a shared decision was made with the parents to opt for clinical assessment every 6 months.

At 1 year and 4 months old, she was admitted to the emergency department for sub-acute loss of walking which had started a month earlier. She also exhibited sudden onset of urinary retention. She was thus transferred to our specialised center for management. Upon arrival, she was moving spontaneously on all-fours. She was able to stand up with support and could walk couple of steps but only with assistance. She had dorsiflexion and eversion weakness on the left greater than the right side with manual muscle testing being under 3/5. She did not respond to tactile stimulation on the left lower limb. Due to the sudden neurological deterioration cerebral and spinal MRI were ordered. The cerebral MRI was normal, and the spinal MRI was remarkable for the appearance of a large syringomyelic cavity extending from T11 to S1 with associated spinal cord edema (figure 1). She thus underwent a detethering surgery with restoration of perimedullary CSF space and near total lipoma resection. At day 1 post-surgery she had complete recovery of motor and sensory functions. Bowel and bladder resumed normal functions at day 2 post-surgery.

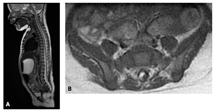
Figure 1: Initial radiological presentation at 7 months of age of an anterolateral trans dural transitional conus lipoma A: Sagittal T2 B: Axial T1 View Figure 1

MRI 4 months post-surgery showed regression of the large syringomyelic cavity and signal abnormalities (figure 2). Bladder and renal ultrasound ordered at the same time was also normal. She was potty trained by 2 years and 3 months old. The last clinical follow-up was made earlier this year, she is now almost 4 years old and remains completely asymptomatic.

Figure 2: MRI findings at subacute worsening showing an extensive syringomyelia A: sagittal T2 B: sagittal T2 CISS) View Figure 2

Figure 3: MRI findings at 4-month post op follow up with complete clinical recovery A: sagittal T2showing complete regression of syringomyelia and restoration of perimedullary intradural CSF space, B: Axial T1 showing the lipomatous remainder at termination of spinal cord View Figure 3

Discussion

Patients with lumbosacral lipomas are usually asymptomatic at presentation but may develop progressive neurological deterioration [4]. Mechanisms of neurological deterioration may include mechanical traction of roots, filum, or cord or direct compressive effect by the lipoma itself, an abscess or syringomyelia. Both phenomena may result in hypoxemia and ischemic damage to the dysplasic spinal cord leading to dysfunction of electrical activity and oxidative metabolism [1, 2]. Syringomyelia is an abnormal enlargement of ependymal central canal of the spinal cord usually due to a rise in flow due to a pressure gradients comparable with some hydrocephalus mechanisms. It has been hypothesized that, in the case of tethering lesions such as in lumbosacral lipomas, spinal cord movements may be altered resulting in increased extracellular fluid flow that exceeds extracellular space capacities thus leading to the development of syringomyelia. Acute neurological deterioration in a previously asymptomatic patient is rare but usually severe and requires urgent surgical intervention to prevent further deterioration and poorer outcome.

Management of asymptomatic lumbosacral lipomas include two options: observation or prophylactic surgery. In general, in medicine, and especially when multiple management options exist, shared decision making should be prioritised. Shared decision making, a collaborative model of care, allows patients and physicians to mutually agree on management based on their values, preferences and expertise [10]. It has been shown that in surgery, this model of care decreases decisional conflict and anxiety and increases decisional satisfaction (despite outcome), knowledge, quality of life and physician trust [10]. To improve patients and their parents’ knowledge on their condition (or their child’s condition), further empowering them in their role in the shared decision-making process, it is important for them to be provided with information on known risks and benefits of the different management options, possible outcomes, as well as potential risk factors and their impact on treatment options.

To help in the counselling of patients and their parents and to guide clinical decision, various groups tried identifying predictive factors of sudden deterioration. Wykes, et al., showed that females with transitional lipomas, <2 years old, especially those with concomitant terminal syringomyelia showed a higher risk of spontaneous worsening and poorer outcome [3]. Similarly, Tu, et al., showed that patients with an enlarging syringomyelia and those with a large lipoma displacing the spinal cord were predisposed to early clinical deterioration. Like other authors, Prasad et al described multiple cases of sudden neurological deterioration secondary to intradural infection due to contiguous spread from a dermal sinus [8, 9]. Massimi, et al., described a rare case of a silent abscess, without dermal sinus tract, which was believed to have occurred by haematogenous spreading of an infectious process which was decompensated by trauma [2]. Finally, here with discussed the case of a patient with a transitional conus lipoma who exhibited acute neurological deterioration due to spontaneous syringomyelia probably from traction on a tethered cord. Massimi, et al., had a similar case of sudden deterioration in a child with a small lipoma of the conus and a large dorsolumbar syringomyelia secondary to a severe tethered cord. Like our patient, their case showed complete recovery a few days following surgery, demonstrating that if observation is preferred by the parents and clinicians, and acute deterioration do occur, it is possible to have complete recovery post-operatively.

Thus, in light of previous work, patients with a dermal sinus tract, syringomyelia, with a large lipoma displacing the spinal cord and/or chaotic lipomas are at higher risk of developing acute neurological deterioration. To prevent such event, prophylactic excision of the underlying cause and detethering of the cord may be considered. However, if prophylactic surgery is opted, careful consideration of surgical technique used should be taken as worse prognosis can be seen in partial resection due to scarring on the neural placode when compared to no surgery. According to Pang et al, the best outcome is seen when undergoing a total resection of the lipoma in an asymptomatic child less than 2 years without previous lipoma surgery (98.4% progression-free survival at 16 years) [5, 6]. If clinical monitoring is opted, closer monitoring in a specialized center with a multidisciplinary team should be prioritized for those higher risk patients to allow for prompter detection of acute neurological deterioration and timely surgical management by an experienced neurosurgeon.

Conclusion

Acute neurological deterioration in a previously asymptomatic patient with lumbosacral lipoma is rare but usually severe and requires timely surgical intervention to prevent further deterioration and poorer outcome. Parents should be counseled that higher risk of sudden worsening may be present in patients with a dermal sinus tract, syringomyelia, with a large lipoma displacing the spinal cord and/or transitional or chaotic lipomas. Management options in asymptomatic patients include prophylactic surgery or closer monitoring in a specialized center with a multidisciplinary team. Here we discussed the case of a patient for whom closer observation was opted, who underwent surgical intervention following acute deterioration and showed complete recovery immediately after surgery. Our case provides additional insight into possible outcomes if parents and clinicians opt for observation rather than prophylactic surgery of an asymptomatic transitional lipoma.

Conflicts of interest

The author(s) declared no potential conflicts of interest.

Ethics approval and consent to participate

No ethics approval was necessary for this paper however informed consent was obtained from the parents for publication of this case report and accompanying images.

This study conforms to all CARE guidelines and reports the required information accordingly

References

  1. Tu A, AR Hengel, DD Cochrane (2016)) Radiographic predictors of deterioration in patients with lumbosacral lipomas. J Neurosurg Pediatr 18: 171-176.
  2. Massimi L, Thailane Maria Feitosa Chaves, François Yves Legninda Sop, et al. (2019) Acute presentations of intradural lipomas: Case reports and a review of the literature. BMC Neurol 19: 189.
  3. Wykes V, D Desai, DN Thompson (2012) Asymptomatic lumbosacral lipomas--a natural history study. Childs Nerv Syst 28: 1731-1739.
  4. Talamonti G, Giuseppe D'Aliberti, Michele Nichelatti, et al. (2014) Asymptomatic lipomas of the medullary conus: surgical treatment versus conservative management. J Neurosurg Pediatr 14: 245-254.
  5. Pang D (2019) Surgical management of complex spinal cord lipomas: how, why, and when to operate. A review. J Neurosurg Pediatr 23: 537-556.
  6. Pang D, J Zovickian, A Oviedo (2010) Long-term outcome of total and near-total resection of spinal cord lipomas and radical reconstruction of the neural placode, part II: outcome analysis and preoperative profiling. Neurosurgery 66: 253-272.
  7. Kulkarni AV, A Pierre-Kahn, M Zerah (2004) Conservative management of asymptomatic spinal lipomas of the conus. Neurosurgery 54: 868-873.
  8. Prasad GL, A Hegde, S Divya (2019) Spinal intramedullary abscess secondary to dermal sinus in children. Eur J Pediatr Surg 29: 229-238.
  9. Girishan S, V Rajshekhar (2016) Rapid-onset paraparesis and quadriparesis in patients with intramedullary spinal dermoid cysts: Report of 10 cases. J Neurosurg Pediatr 17: 86-93.
  10. Niburski K, Elena Guadagno, Sadaf Mohtashami, et al. (2020) Shared decision making in surgery: A scoping review of the literature. Health Expect 23: 1241-1249.

Citation

Gour-Provençal G, Timothée De Saint-Denis, Lallemant-Dudek P, et al. (2025) Acute Deterioration in a Pediatric Patient with a Transitional Lipoma - A Case Report. Neurosurg Cases Rev 8:175. doi. org/10.23937/2643-4474/1710175