Citation

Missael de Jesús SH, Martinez-Nava AO, Cobián-Estrada YE, et al. (2025) Thoracic Spinal Lymphangioma in an Adult: A Case Report. Neurosurg Cases Rev 8:176. doi.org/10.23937/2643-4474/1710176

CASE REPORT | OPEN ACCESS DOI: 10.23937/2643-4474/1710176

Thoracic Spinal Lymphangioma in an Adult: A Case Report

Salcedo-Hernandez Missael de Jesús, MD1*, Martinez-Nava Alexis Oziel, MD2, Cobián-Estrada Yonatan Emmanuel, MD3, Ramos-Sánchez Gilberto Daniel, MD3, Franco-Del Toro Perla Guadalupe, MD4, Plazola-Valle Citlalli Xmell, MD5 and Andrade-Ramos Miguel Ángel, MD6

1Neurosurgery Resident, Departamento de Neurociencias Clínicas Nuevo Hospital Civil de Guadalajara “Dr. Juan I Menchaca”, México

2Neurosurgeon, Departamento de Neurociencias Clínicas, Nuevo Hospital Civil de Guadalajara “Dr. Juan I Menchaca”, México

3Departamento de Neurociencias Clínicas, Nuevo Hospital Civil de Guadalajara “Dr. Juan I Menchaca”, México

4Neuropathologist, Departamento de Patologia, Nuevo Hospital Civil de Guadalajara “Dr. Juan I. Menchaca”, México

5Departamento de Patologia, Nuevo Hospital Civil de Guadalajara “Dr. Juan I Menchaca”, México

6Spine - Neurosurgeon, Departamento de Neurociencias Clínicas Nuevo Hospital Civil de Guadalajara “Dr. Juan I. Menchaca”, Guadalajara, Jalisco, México

Abstract

Background and Importance: Lymphangiomas are slow-growing, benign soft tissue tumors. These tumors are more common in children. Spinal involvement is extremely rare. Symptoms entirely depend on the level of the lesion, with pain and motor deficits being the most frequently reported. The treatment for symptomatic spinal lymphangiomas requires complete surgical resection.

Clinical Presentation: This case involves a 56-year-old female patient presented to the clinic with complaints of persistent cervical pain and predominant weakness in the lower extremities over the past three months. Physical examination revealed clinical signs at the dorsal level. Further imaging revealing a lesion within the spinal canal exerting a mass effect on neural structures. An elective procedure was performed, including a fluoroscopy-guided laminectomy at the previously identified affected level (T2), the lesion was completely removed. At the two-week follow-up visit, the patient reported significant symptom improvement.

Conclusion: Spinal lymphangioma is an exceptionally rare lesion, this case highlights the importance of including lymphangioma in the differential diagnosis in patients with epidural compression. Recognizing its unique presentation is crucial to guide appropriate management, avoid unnecessary interventions, and improve patient outcomes. This case provides insights that may aid in the clinical and surgical approach to similar rare tumors.

Keywords

Spine, Lymphangioma, Neurological symptoms, Pathology, Case report

Background and Importance

Lymphangiomas are slow-growing, benign soft tissue tumors. These tumors are more common in children and mainly affect soft tissues. Spinal involvement is extremely rare and presents as a primary bone lesion or as a soft tissue tumor in the epidural space, originate from a defective connection between primary lymphatic spaces and the central lymphatic system, this anomaly is typically due to abnormal lymphatic channels, which are lined with endothelial tissue [1].

Lymphangiomas have a predilection for the head and neck but can affect any organ. They are classified as congenital or acquired and histologically divided into cavernous, capillary, or cystic types. These tumors are more common in children, primarily affecting soft tissues. Imaging studies can suggest a diagnosis of lymphangioma; however, only a pathological examination can definitively confirm it [2].

Spinal involvement is extremely rare, presenting either as a primary bone lesion or as a soft tissue tumor in the epidural space. These are frequently located in the vertebral bodies and, when involving the epidural space, they typically appear as isolated masses or as an extension of a mediastinal lesion. Symptoms entirely depend on the level of the lesion, with pain and motor deficits being the most frequently reported. The treatment for symptomatic spinal lymphangiomas requires complete surgical resection, postoperative recurrence can occur, possibly due to incomplete resection of the mass [2].

Clinical Presentation

This case involves a 56-year-old female patient with the following medical history:

Medical history

Hypertension for 12 years, managed with losartan every 12 hours. Neurodermatitis. No other comorbidities reported. Allergies: Metamizole (causes hives).

Surgical history

Three cesarean sections.

The patient presented to the clinic with complaints of persistent cervical pain and predominant weakness in the lower extremities over the past three months. Physical examination revealed clinical signs at the dorsal level. Further imaging studies were conducted, revealing a lesion within the spinal canal exerting a mass effect on neural structures. A preoperative protocol was carried out, informed consent was obtained from the patient. The Research Ethics Committee was notified, and formal review was not deemed necessary due to the nature of the case report in this study (Figure 1). An elective procedure was performed, including a fluoroscopy-guided laminectomy at the previously identified affected level (T2), Intraoperative findings highlighted the extra-axial nature of the lesion, lacking a clear cleavage plane and significantly hemorrhagic. The lesion was completely removed. A fragment of the lesion was sent for definitive histopathological examination. The patient progressed favorably in the immediate postoperative period, being discharged on the second postoperative day. At the two-week follow-up visit, the patient reported significant symptom improvement.

Preoperative MRI imaging of thoracic spinal tumor

Figure 1: Thoracic spine MRI. A) Axial projection in T2-sequence: Intradural-extramedullary expansive mass, hyperintensity compared to the surrounding spinal cord. B) Sagittal projection in T2-sequence: Intradural-extramedullary mass in the upper thoracic region compressing the spinal cord and displacing the surrounding structures. C) Sagittal projection in T2-sequence with fat suppression and contrast: Highlighting the expansive intradural-extramedullary lesion at the mid-thoracic level, with enhancement after contrast administration.

Figure 1: Thoracic spine MRI. A) Axial projection in T2-sequence: Intradural-extramedullary expansive mass at the thoracic level, which shows hyperintensity compared to the surrounding spinal cord; B) Sagittal projection in T2-sequence: Intradural-extramedullary mass in the upper thoracic region compressing the spinal cord; C) Sagittal projection in T2-sequence with fat suppression and contrast: Highlighting the expansive intradural-extramedullary lesion at the mid-thoracic level, with enhancement after contrast administration. View Figure 1

Histopathological examination

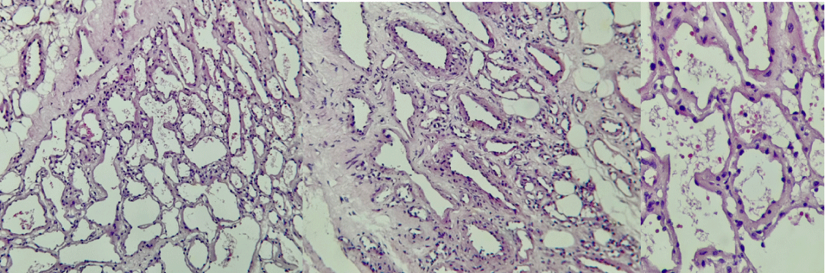
Figure 2: Histological slides (hematoxylin and eosin).

Figure 2: Histological slides (hematoxylin and eosin). A) Panoramic view that shows dilated lymphatic vessels; B) Lymphatic channels surrounded by scant fibrosis with some lymphocytes; C) Lymphatic spaces lined by flattened endothelium, filled with eosinophilic-proteinaceous fluid. View Figure 2

A) Panoramic view that shows dilated lymphatic vessels.

B) Lymphatic channels surrounded by scant fibrosis with some lymphocytes.

C) Lymphatic spaces lined by flattened endothelium, filled with eosinophilic-proteinaceous fluid.

Discussion

The term lymphangioma, cystic hygroma, and lymphangiomatosis are used by many specialties, but all of these terms refer to the same pathology. According to the 2015 guidelines on nomenclature of vascular malformations, the main term “lymphatic anomaly” should be used. The detailed pathological mechanism remains a matter of debate; however, the consensus is that lymphangiomas are benign hematomas originating from the proliferation of abnormal lymphatic structures excluded from the systemic lymphatic circulation. 90% of all tissue lymphangiomas are considered congenital and become present by the age of 2 years; the remaining are acquired like trauma, radiation or chronic inflammation [3].

Lymphangiomas are typically found in the cervical or axillary regions of children, with 10% extending into the mediastinum. In adults, they are usually located in the anterior/prevascular superior mediastinum, right paratracheal region, or posterior/paravertebral mediastinum and can sometimes represent a recurrence of lymphangiomas excised in childhood [4].

Even though 90% of lymphangiomas are congenital, the mean age, specifically of spinal lymphangioma is 30 years; the pathology is more common in males (59%). In addition, spinal compromise is extremely rare; even so, the thoracic spine is the most affected segment, followed by the cervical and the lumbosacral spine [3].

90% of patients present before the age of 2 years. In adults, it is often asymptomatic but can cause chest pain, dyspnea, and dysphagia, it can also cause vascular or tracheal compression, and strider thus the most common location of lymphangiomas is on the neck. Referring to spinal lymphangiomas, the most common symptoms that occur when there is spinal involvement are: low back pain, sciatica, hypoesthesia of the upper/lower extremities, progressive paraparesis, neck pain and headache.

Radiographically, they appear as well-defined, smooth or loculated mediastinal masses, sometimes with pleural effusion. CT scans reveal homogeneous or cystic masses with slight enhancement, which may surround or displace adjacent structures and mimic malignancy [5]. MRI shows hyperintensity on T1WI and high signal intensity on T2WI, effectively illustrating macrocytic and infiltrating components. Differential diagnoses include necrotic neoplasm, mature teratoma, thymic cyst, other mediastinal cysts, and hematoma, seroma, or abscess, which can usually be distinguished by clinical features or tissue sampling. Pathologically, they consist of unilocular or multicystic masses filled with milky fluid, with microscopic features including dilated, thin-walled lymphatic vessels lined by flat endothelium, benign lymphoid aggregates, and stromal fibrosis, with a local recurrence rate of 35% [6-7].

Treatment involves challenging surgical excision if locally encapsulated or infiltrative, with 20% potentially enlarging or recurring, and percutaneous drainage and sclerotherapy used for macrocystic lesions [8].

Conclusion

Spinal lymphangioma is an exceptionally rare lesion, with approximately 37 cases reported in the literature. This case highlights the importance of including lymphangioma in the differential diagnosis in patients with epidural compression, especially with a cystic mediastinal mass and a history of resection in childhood. It can mimic metastatic conditions and lead to aggressive treatment before histopathological confirmation. Recognizing its unique presentation is crucial to guide appropriate management, avoid unnecessary interventions, and improve patient outcomes by ensuring accurate, minimally invasive treatment for benign lesions. This case provides insights that may aid in the clinical and surgical approach to similar rare tumors.

Conflict of Interest

None.

Disclosure of Funding

None.

References

  1. Fattahi A, Taheri M, Majdi M (2019) Lymphangioma of the thoracic spine with epidural compression: A case report. Iran J Med Sci 44: 172-175.
  2. Kerolus MG, Patil J, Kurian A, Sani S (2016) Intradural cavernous lymphangioma of the thoracic spine: Case report, technical considerations, and review of the literature. Spine J 16: e561-e565.
  3. Sop FYL, Benato A, Izoudine BK, Khouri K, Marangon A, et al. (2024) Spinal lymphangiomas: Case-based review of a chameleonic disease entity. J Craniovertebr Junction Spine15: 4-14.
  4. Garrana SH, Rosado-de-Christenson ML (2021) Imaging of the anterior/prevascular mediastinum. Radiol Clin North Am 59: 155-168.
  5. Itkin M, McCormack FX (2016) Nonmalignant adult thoracic lymphatic disorders. Clin Chest Med 37: 409-420.
  6. Saito T, Terada K, Tsuchiya K, Oda Y, Tsuneyoshi M, et al. (1999) Lymphangioma presenting as a dumbbell tumor in the epidural space of the lumbar spine. Spine 24: 74-76.
  7. Payne C, Gigliotti MJ, Castellví A, Yu A (2019) Rare case of cystic hygroma in the epidural space resulting in multilevel spinal cord compression. BMJ Case Rep 12: e230326.
  8. Ha BY, Park JB, Kim YM, Lyo IU (2010) Lymphangioma in the epidural space of the thoracic spine. J Korean Neurosurg Soc 47: 403-405.

Citation

Missael de Jesús SH, Martinez-Nava AO, Cobián-Estrada YE, et al. (2025) Thoracic Spinal Lymphangioma in an Adult: A Case Report. Neurosurg Cases Rev 8:176. doi.org/10.23937/2643-4474/1710176